Kapcsolat Fogfájástól szenvedő betegeinket soron kívül fogadjuk! 1052 Budapest, Párizsi u.1. 00 36/1-266-1611, 00 36/1-235-0760
Rendelési idő: Hétfőtől Csütörtökig 09:00-13:00, 14:00-19:00

Esetbemutató képek

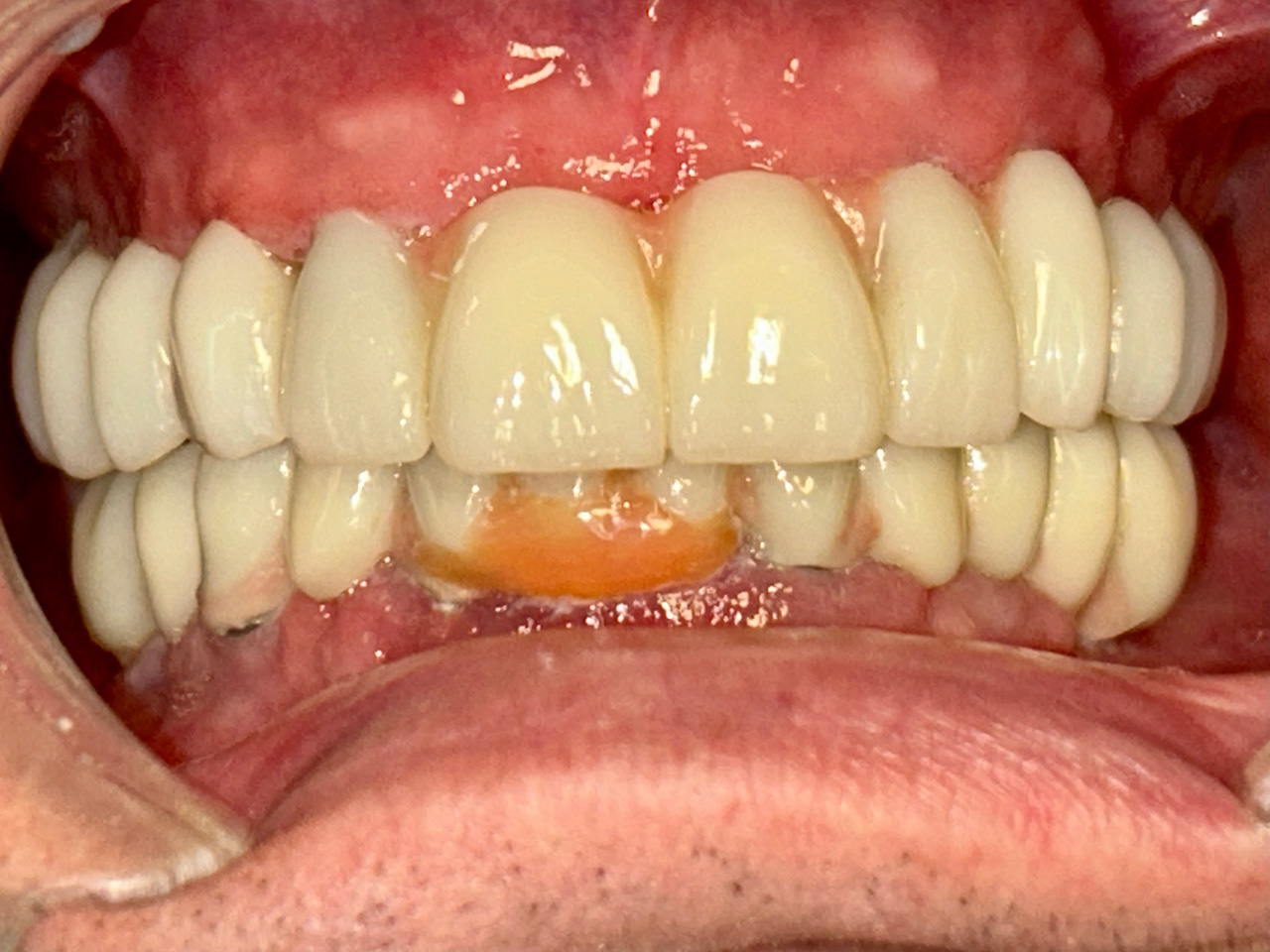
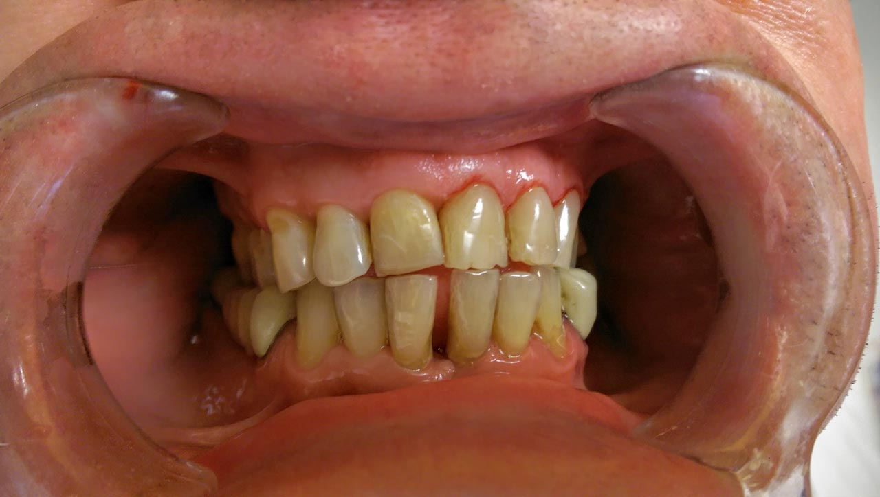
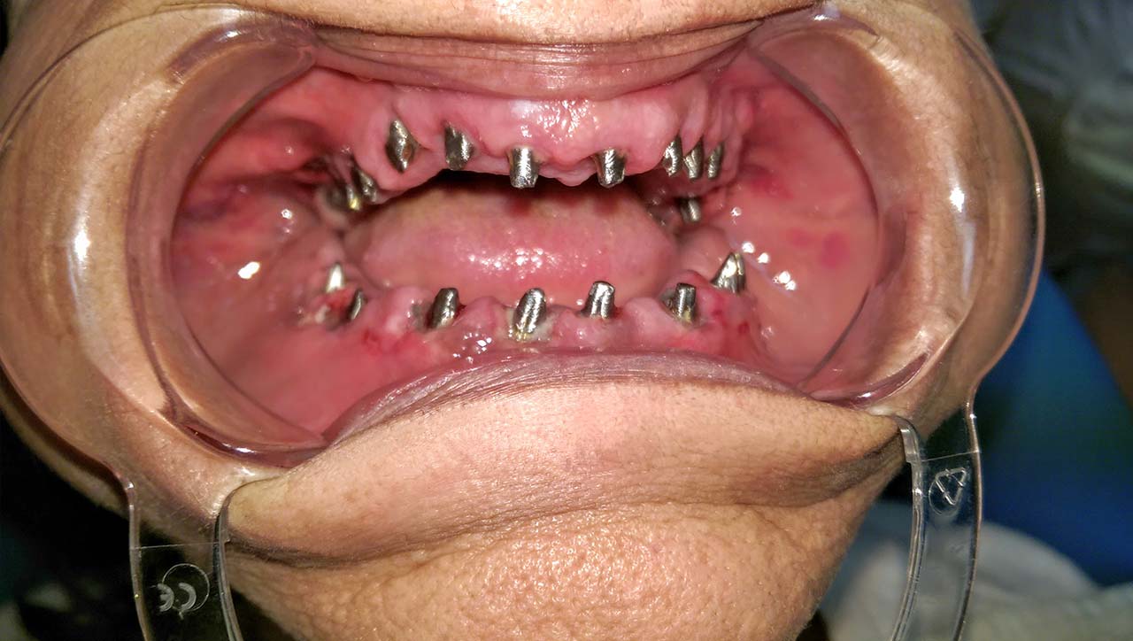
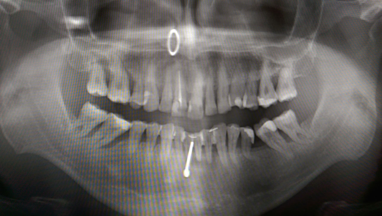
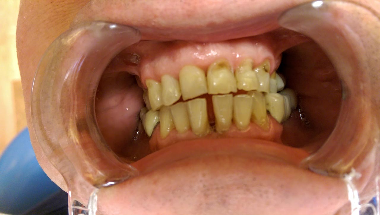
Elhanyagolt fogsor cseréje 2 nap alatt

2 nap alatt varázsoltuk ezt a szép esztétikus alsó, felső körhídat implantátumokkal megtámasztva a korábban elhanyagolt szájba. Az 1. nap 26 fogat távolítottunk el, mert annyira rossz állapotban voltak, és rögtön azonnal terhelhető IHDE svájci implantátumokat raktunk be, fentre 8, lentre 6 darabot. A sebeket összevarrtuk és intraorális szkennerrel digitális lenyomatot vettünk. 2 nap múlva pedig beragasztottuk a kész PMMA műanyag körhidakat. Dr. Kelemen Péter és a Symbion Fogtechnika munkája.


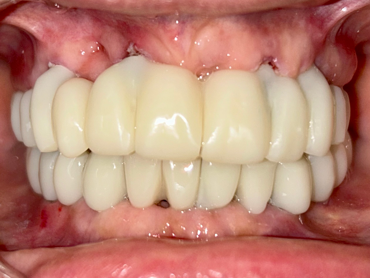
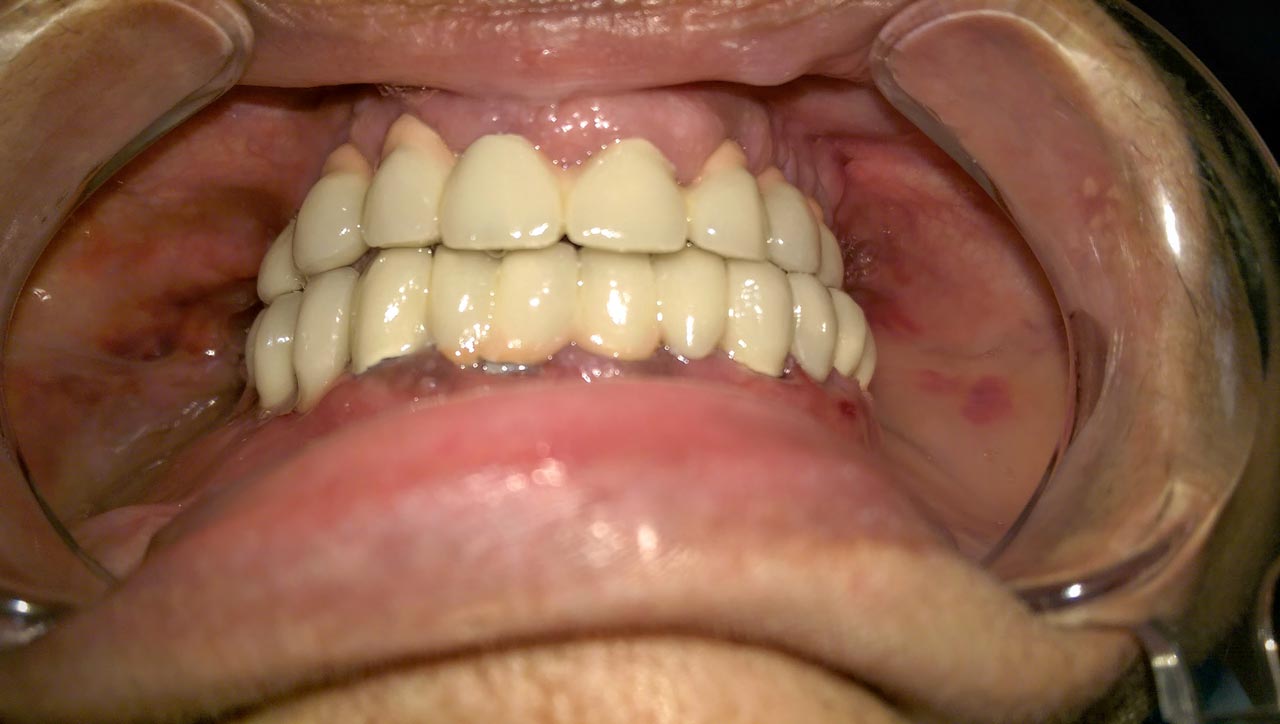
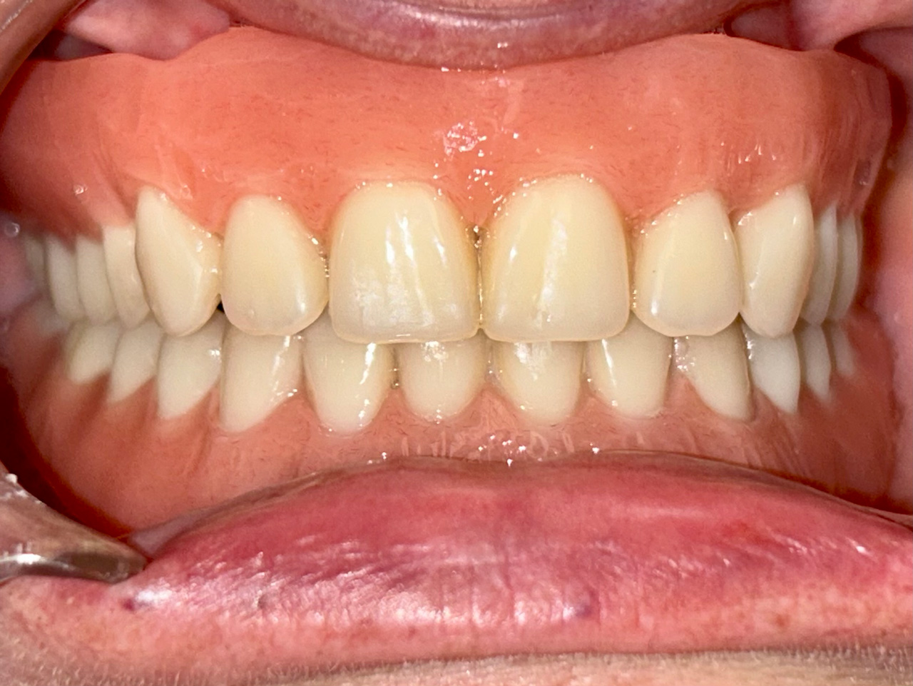
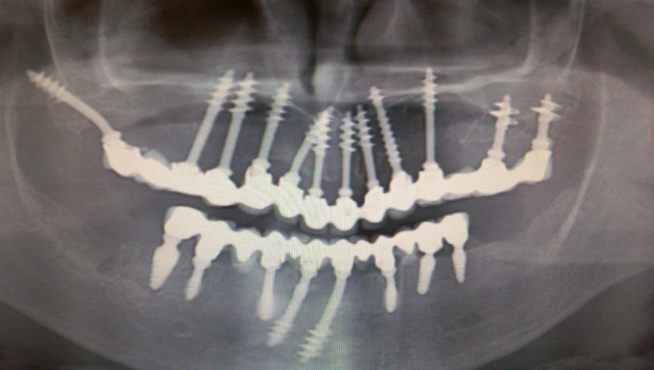
Teljes fogatlanság helyreállítása 2 nap alatt

Teljes fogatlanság helyreállítása 2 nap alatt azonnal terhelhető svájci IHDE implantátumokkal és PMMA műanyag hidakkal. Intraorális szkennerrel vettünk lenyomatot az implantáció után, és erre a digitális mintára készítette el a fogtechnika a hidak digitális tervezését, majd faragta ki műanyagból. Ezt a gyors munkát az azonnal terhelhető implantátumok és a digitális lenyomat, tervezés segítségével tudtuk megcsinálni mindössze 2 nap alatt. Dr. Kelemen Péter és a Symbion Fogtechnika munkája.


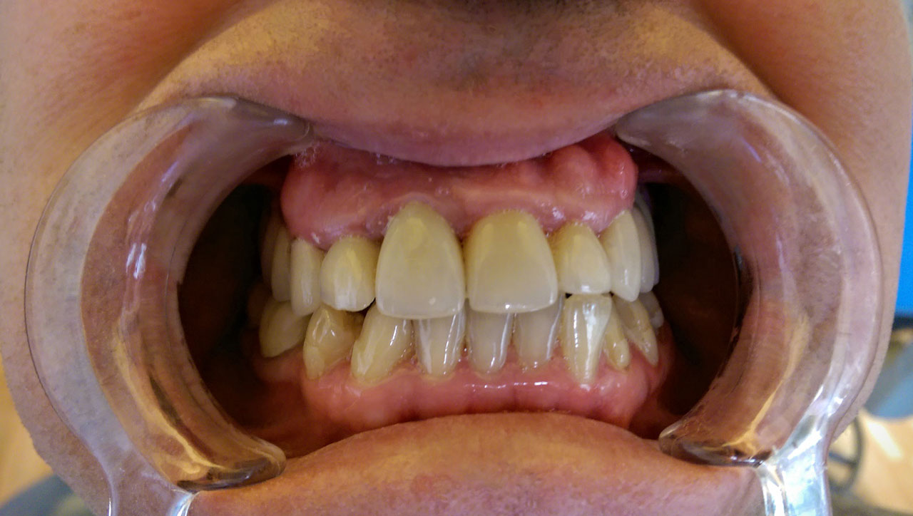
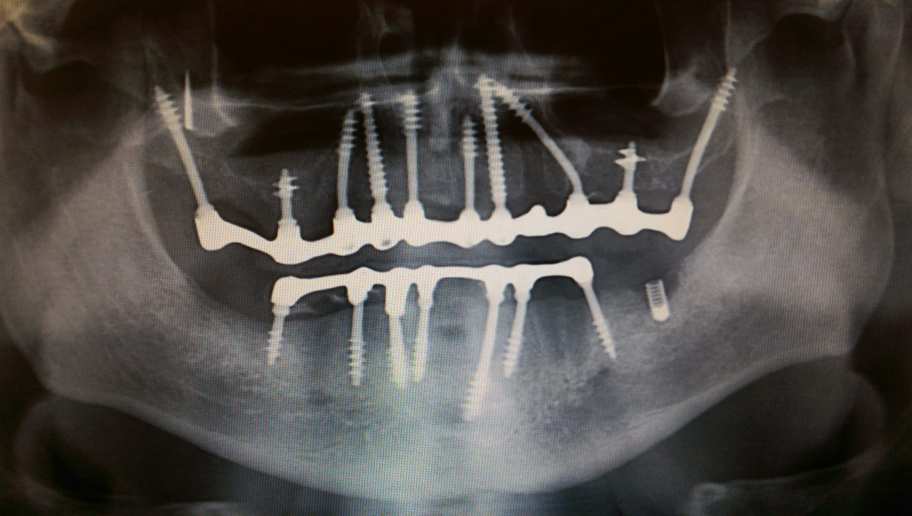
Teljes szájüregi rehabilitáció két lépésben

Ismét egy teljes szájüregi rehabilitáció két lépésben. Először az alsó fogak lettek kihúzva és azonnal implantálva, híddal ellátva, majd később a felső. IHDE svájci azonnal terhelhető implantátumok és cirkónium hidak. Dr. Kelemen Péter és a Symbion Fogtechnika közös munkája.


Teljes alsó,felső állcsont helyreállítása azonnal
terhelhető implantátumokkal és porcelán hidakkal.


Implantátum és cirkónium korona

IHDE implantátumok


Szúvas fogak helyreállítása tömöanyaggal


Harapás helyreállítása asztétikus cirkónium koronákkal

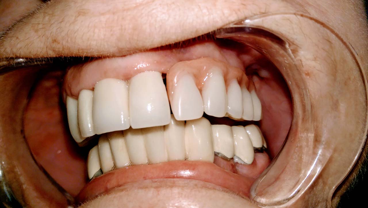
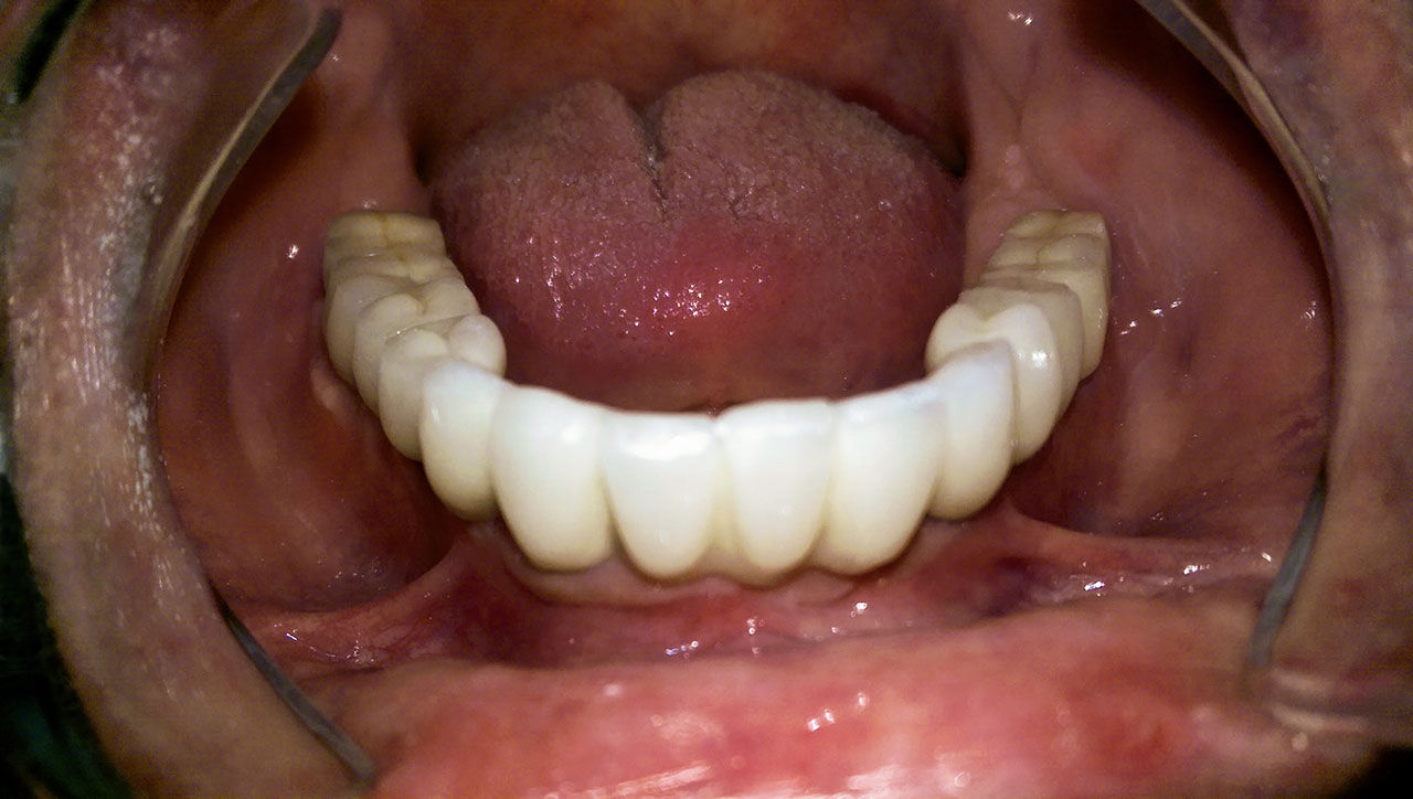
Rágófunkció esztétikus helyreállítása azonnalterhelhető svájci IHDE implantátumokkal és porcelán koronákkal.

A régóta fennálló foghiány és a mozgó fogak miatt a páciens nem tudott jól rágni és harapni, illetve mosolyogni sem mert már jó ideje. A leggyorsabb és a legesztétikusabb megoldás az ilyen esetekre az IHDE azonnal terhelhető implantátumok behelyezése, és az azokra rögtön elkészített porcelán koronák elkészítése.
A teljes munka - az implantáció, a végleges koronák elkészítése - 5 munkanapot vett igénybe.

Implantáció

A mozgó, törött fogakon álló hidat a fogakkal együtt eltávolítottuk.
A fogak helyére, és a stratégiailag jó csontállományú hátsó területre azonnal behelyezett implantátumokra 3 nap múlva elkészítettük az esztétikus, azonnal terhelhető ideiglenes hidat.

Esztétikus Implantáció

A mozgó, törött fogakon álló hidat a fogakkal együtt eltávolítottuk.
A fogak helyére, és a stratégiailag jó csontállományú hátsó területre azonnal behelyezett implantátumokra 3 nap múlva elkészítettük az esztétikus, azonnal terhelhető ideiglenes hidat.

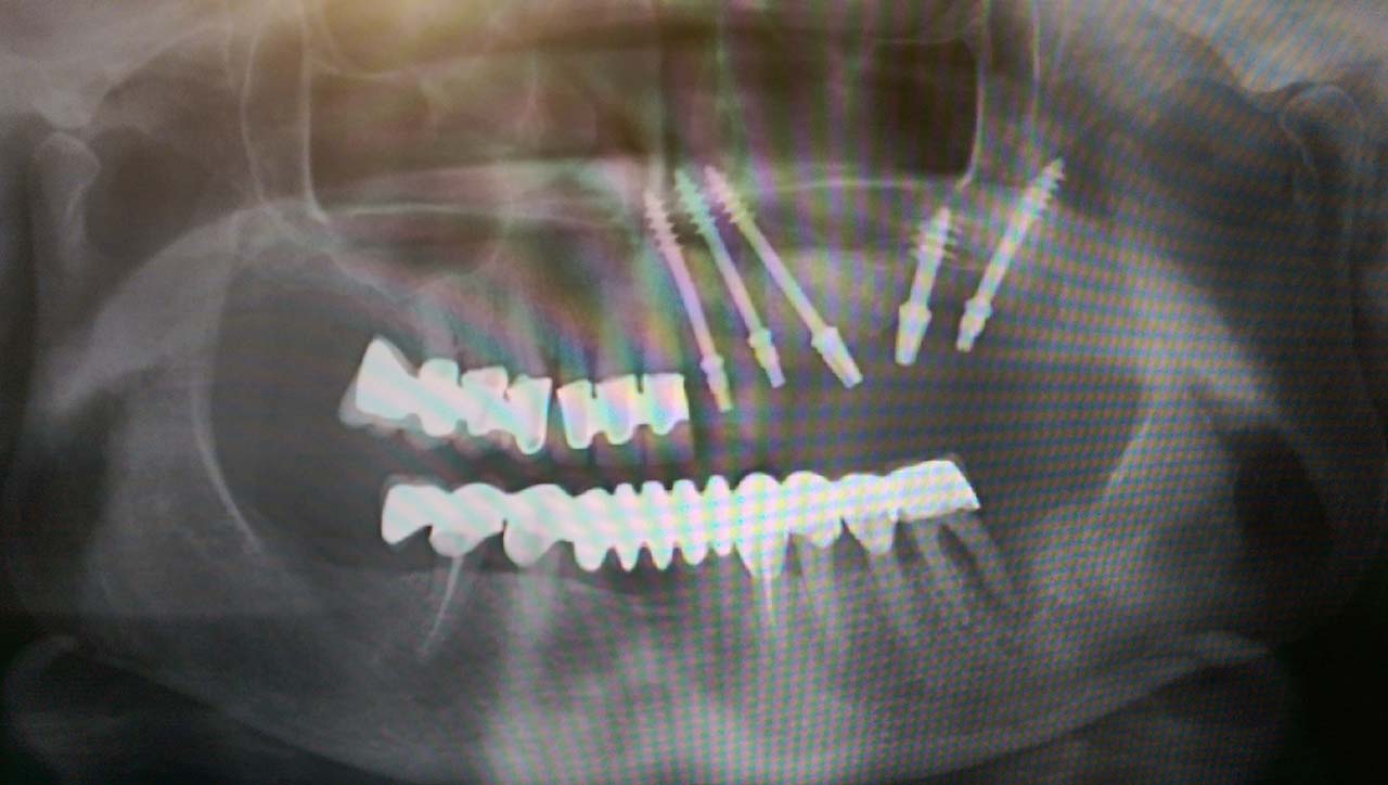
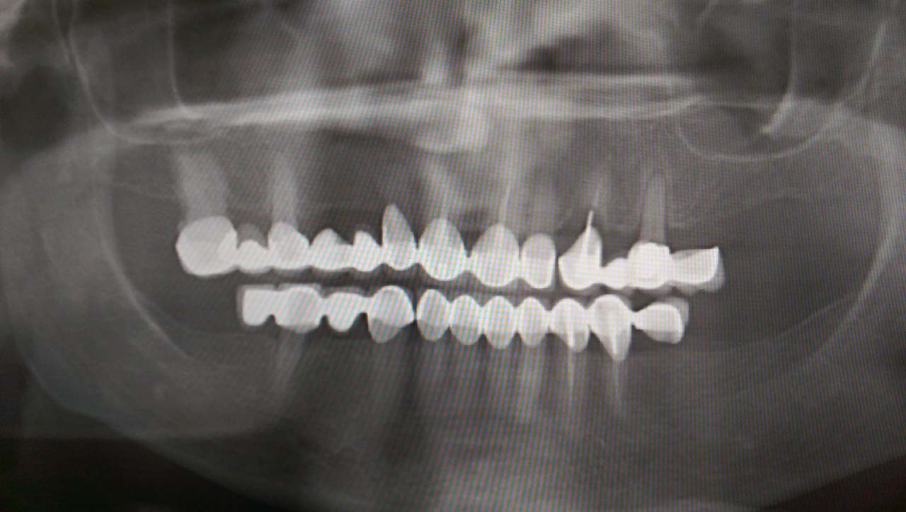
Implantációs eset

Évek óta fogatlan, rágni nem tudó páciens rehabilitációja azonnal terhelhető implantátumokkal és fix hidakkal 72 óra alatt.

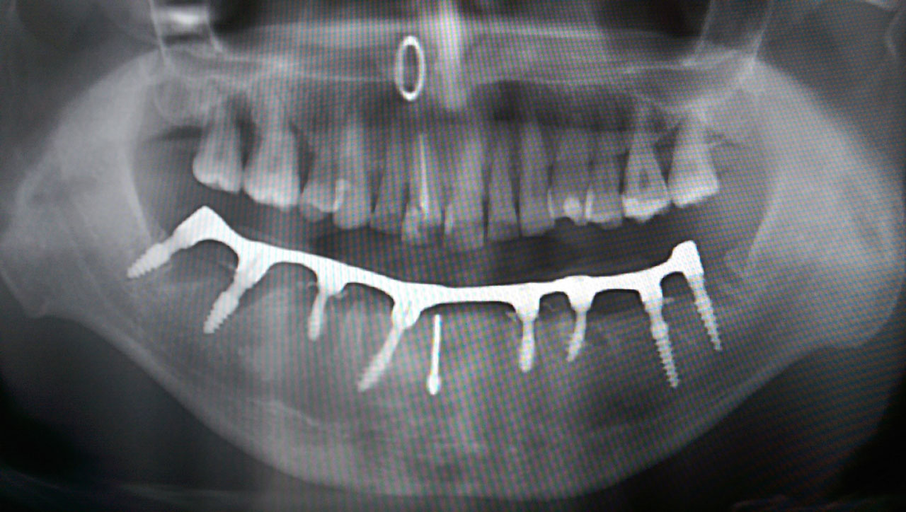
Alsó állcsont teljes rehabilitációja 72 óra alatt

Alsó állcsont teljes rehabilitációja 72 óra alatt, azonnal terhelhető implantátumokkal súlyos paradontitisben szenvedő dohányzó páciens esetében. Az alsó állcsont fogai mind mozogtak az előrehaladott fogágypusztulás miatt.
A fogakat eltávolítottuk, a gyulladt, fertőzött csontot kitakarítottuk, kifertőtlenítettük, majd azonnal implantáltunk.
Svájci, IHDE márkájú, azonnal terhelhető implantátumokat helyzetünk be, és ezekre harmadnapra rögzített, hosszútávú, fémvázas, esztétikus műanyaggal leplezett hidat ragasztottunk be.
Ezt az ideiglenes hidat a sebek gyógyulása miatt használjuk, de tartóssága miatt véglegesként is használható. A legtöbb esetben, ahogy itt is, 6 hónap múlva porcelán hídra cseréljük, a teljes gyógyulás után.

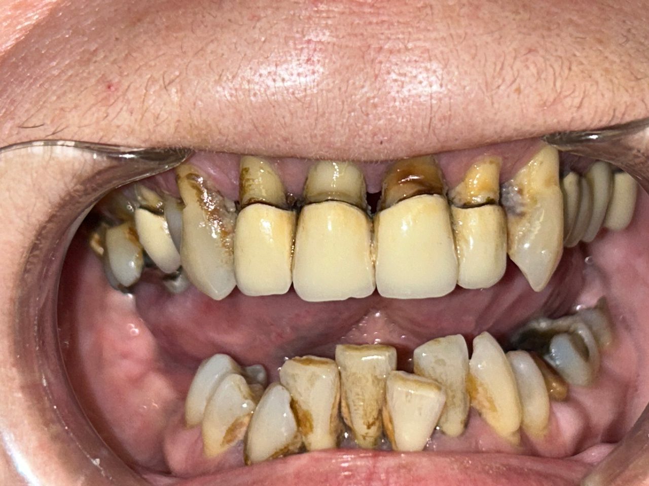
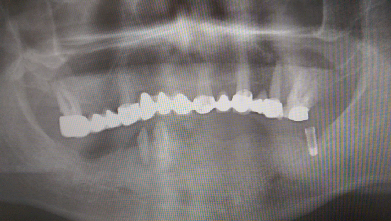
Implantáció törött, rossz fogak helyett

A rossz fogakat és a mozgó, törött fogakon álló hidat a fogakkal együtt eltávolítottuk. A fogak helyére, és a stratégiailag jó csontállományú területekbe azonnal behelyezett implantátumokra 3 nap múlva elkészítettük az esztétikus, rögtön terhelhető ideiglenes hidat.

Két eset - előtte és utána

  • Páciens #1 - Előtte
    Páciens #1 - Előtte
  • Páciens #1 - Utána
    Páciens #1 - Utána
  • Páciens #2 - Előtte
    Páciens #2 - Előtte
  • Páciens #2 - Utána
    Páciens #2 - Utána

Páciens #1 előtte:
felső frontrégióban(1-es ill. 2-es fogaknál) többfelszinű tömések láthatóak, letört héjpótlás, ill. a szabálytalan tengelyállású fogak esztétikailag zavaróak voltak a Páciens számára.
Páciens #1 utána:
felső frontrégió esztétikai helyreállítása fémmentes cirkónium koronákkal

Páciens #2 előtte:
A Páciens régi fémvázas oldalsó hídja, ill. a bal felső 2-es fog többfelszinű, régi tömései láthatóak, ami esztétikailag zavaróak a Páciens számára.
Páciens #2 utána:
Frontrégió esztétikai helyreállítása fémmentes cirkón koronákkal ill híddal.

24 éves referencia a rendelőnk munkájából!

Kedves páciensünket dr. Kelemen Pál főorvos 1993-ban implantálta.
Azóta, a porcelán híddal változatlanul, minden probléma nélkül látják el a feladatukat az implantátumok. Kívánjuk, hogy a következő 24 év is problémamentesen teljen el!

Foghiányos, fertőző gyökerekkel teli szájüreg helyreállítása

Foghiányos, fertőző gyökerekkel teli szájüreg helyreállítása esztétikailag és funkcionálisan 9 nap alatt.
A rossz fogakat és gyökereket eltávolítottuk, és azonnal terhelhető IHDE svájci implantátumokkal pótoltuk.
Az esztétikus koronák cirkóniumból készültek, hogy természetesebb hatást érjünk el

80 év felett is működik!

Teljes alsó, felső állcsont rehabilitáció azonnal terhelhető implantátumokkal és porcelán hidakkal.
Csontritkulás, cukorbetegség, súlyos fogágybetegség és dohányzás nem befolyásolja a sikerességét.

Kapcsolat

Címünk:

1052 Budapest, Párizsi utca 1. II. emelet 10.
Kapucsengő: 37.

Útvonaltervező

Vezetékes:

Telefon: ,

Mobil:

00 36/1-266-1611
00 36/1-235-0760

Mobil:

00 36/30-951-88-77

Rendelési idő:

hétfőtől csütörtökig 09:00-13:00, 14:00-19:00.

Elérhetőségeink

Email cím:

kelemen@dentalcenterkelemen.hu

Üzenet írása